このページの監修者
河合歯科 矯正歯科
不正咬合タイプ診断
不正咬合は 放っておくと危険です
悪い歯並びのことを歯科用語で「不正咬合(ふせいこうごう)」と呼びます。不正咬合のデメリットは単に“見た目が悪い”ということだけではありません。不正咬合は口腔内/全身の健康状態に様々な悪影響を与えます。
不正咬合のタイプは全部で10種類。自分がどれに該当するか、まずはセルフ診断してみましょう。
あなたはどのタイプ? 不正咬合タイプ診断
あなたの不正咬合はどのタイプですか?
近いタイプを選んでタップしてください。画像をタップすると、選んだ不正咬合の症状・原因・リスクをより詳しく知ることができます。
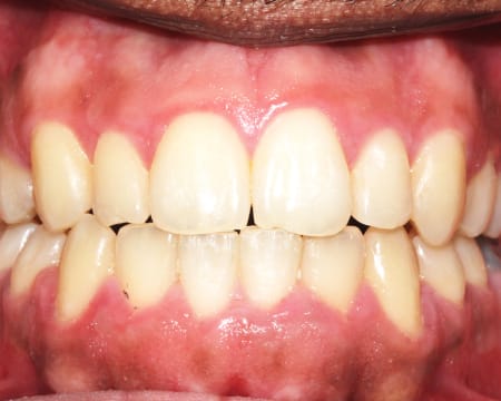
デコボコ歯
(叢生・乱食歯)
叢生(そうせい)とは?
叢生は、歯が重なって歯並びがデコボコになっている状態です。「乱ぐい歯」「ガチャ歯」とも言います。「八重歯」も叢生の一種です。
叢生を矯正するメリット
見た目が良くなる
口をしっかり閉じられる
(口が乾燥しにくくなる)
食べ物を噛み切りやすくなる
発音が良くなる
叢生のリスクは? 放っておいても大丈夫?
歯が重なり合っている部分は、歯ブラシが届きにくく、プラーク(歯垢)がたまりやすいため、むし歯や歯周病のリスクが高まります。適切な清掃が難しいため、歯肉炎や歯槽膿漏など歯茎の病気も進行しやすくなります。
不正な咬み合わせによって歯が異常に摩耗しやすくなり、将来的に歯が欠けたり削れたりするリスクが高まります。
歯並びと(高齢期の)歯の残存数は明確な関連性があることがわかっています。叢生は虫歯・歯周病になりやすく、高齢期の歯の喪失リスクが増大します。
特に奥歯(6歳臼歯)は30代・40代のうちに抜けるリスクが高い歯で、放っておくのは危険です。
不正咬合を放置するリスクは上記だけに留まりません。顔貌の歪み、全身骨格の歪みを生じるリスクがありますし、歯周病の進行によって脳梗塞・心筋梗塞・糖尿病といった成人病リスクも高まることがわかっています。
次のページで詳しく解説します。
放置するリスク
出っ歯
(上顎前突)
出っ歯とは?
出っ歯とは、上顎の前歯もしくは上顎そのものが正常な位置よりも前に出すぎている状態です。「上顎前突(じょうがくぜんとつ)」「反っ歯(そっぱ)」とも言います。
出っ歯を矯正するメリット
見た目が良くなる
口をしっかり閉じられる
(口が乾燥しにくくなる)
食べ物を噛み切りやすくなる
発音が良くなる
口傷・口内炎のリスクが減る
出っ歯のリスクは? 放っておいても大丈夫?
出っ歯の方は正常な歯並びの方に比べて、衝突や転倒などの事故で前歯が損傷・破折するリスクが約50%も高まるといわれています。
前歯でしっかり噛むことが難しいため、噛む力が奥歯に集中しやすくなります。長期的に奥歯に過度な負担をかけ続けることで、歯が欠けたり詰め物が取れたりなどのリスクが高まります。結果として早く奥歯を失う恐れがあります。
不正咬合を放置するリスクは上記だけに留まりません。顔貌の歪み、全身骨格の歪みを生じるリスクがありますし、歯周病の進行によって脳梗塞・心筋梗塞・糖尿病といった成人病リスクも高まることがわかっています。
次のページで詳しく解説します。
放置するリスク
すきっ歯
(空隙歯列)
すきっ歯とは?
すきっ歯とは、歯と歯の間に隙間がある状態です。「空隙歯列(くうげきしれつ)」とも言います。前歯の間だけが開いている場合は「正中離開(せいちゅうりかい)」と言います。
すきっ歯を矯正するメリット
見た目が良くなる
発音が良くなる
食べ物を噛み切りやすくなる
すきっ歯のリスクは? 放っておいても大丈夫?
歯の隙間に食べカスやプラーク(歯垢)がたまりやすく歯ブラシも届きづらいため、虫歯や歯周病のリスクが高まります。
余分な隙間が空いているため、加齢・舌のクセ・生活習慣などによって歯が動きやすいです。時間の経過とともに、隣の歯が傾いたり、噛み合わせが悪くなったりなど歯並びがより悪化するリスクがあります。
不正咬合を放置するリスクは上記だけに留まりません。顔貌の歪み、全身骨格の歪みを生じるリスクがありますし、歯周病の進行によって脳梗塞・心筋梗塞・糖尿病といった成人病リスクも高まることがわかっています。
次のページで詳しく解説します。
放置するリスク
深い噛み合わせ
(過蓋咬合)
深い噛み合わせとは?
上下の歯の噛み合わせが異常に深い状態です。「過蓋咬合(かがいこうごう)」「ディープバイト」とも言います。
通常の場合は上の歯が下の歯を2~3ミリ程度覆い隠しますが、過蓋咬合の場合は下の歯がほとんど見えなくなるほど上の歯に覆われます。
過蓋咬合を矯正するメリット
顎や奥歯への負担が減る
ガミースマイルが改善する
ほうれい線が目立ちにくくなる
過蓋咬合のリスクは? 放っておいても大丈夫?
過蓋咬合は下の前歯が上の前歯に強く当たるため、上の前歯が押し出されて徐々に出っ歯になる可能性があります。
噛み合わせが深いと顎の関節に過剰な力がかかります。顎関節に負担がかかることで、将来的に顎関節症が悪化するリスクが高まります。
嚙み合わせが深いと奥歯に負担がかかりやすくなります。長期的に奥歯に過度な負担をかけ続けることで、歯が欠けたり詰め物が取れたりなどのリスクが高まります。結果として早く奥歯を失う恐れがあります。
不正咬合を放置するリスクは上記だけに留まりません。顔貌の歪み、全身骨格の歪みを生じるリスクがありますし、歯周病の進行によって脳梗塞・心筋梗塞・糖尿病といった成人病リスクも高まることがわかっています。
次のページで詳しく解説します。
放置するリスク
嚙み合わせのズレ
(交叉咬合)
嚙み合わせのズレとは?
嚙み合わせのズレとは、部分的に上の歯より下の歯が前に出て、かみ合わせが反対になっている状態です。「交叉咬合(こうさこうごう)」「クロスバイト」とも言います。
交叉咬合を矯正するメリット
見た目が良くなる
食べ物を噛み切りやすくなる
顔の歪みが改善する
交叉咬合のリスクは? 放っておいても大丈夫?
歯が交叉している部分は歯ブラシが届きにくく、プラーク(歯垢)がたまりやすいため、むし歯や歯周病のリスクが高まります。適切な清掃が難しいため、歯肉炎や歯槽膿漏など歯茎の病気も進行しやすくなります。
嚙み合わせが深いと顎の関節に過剰な力がかかります。顎関節に負担がかかることで、将来的に顎関節症が悪化するリスクが高まります。
ズレたまま噛み続けることで、徐々に顎の位置がズレたり、筋肉の発達がアンバランスになったりして顔の形が歪んでいってしまうことがあります。
不正咬合を放置するリスクは上記だけに留まりません。顔貌の歪みだけでなく、全身骨格の歪みを生じるリスクがありますし、歯周病の進行によって脳梗塞・心筋梗塞・糖尿病といった成人病リスクも高まることがわかっています。
次のページで詳しく解説します。
放置するリスク
前歯が閉じない
(開咬)
前歯が閉じないとは?
奥歯を嚙み合わせた際に上下の前歯の間に隙間ができ、前歯がかみ合わっていない状態です。「オープンバイト」とも言います。
開咬を矯正するメリット
見た目が良くなる
口をしっかり閉じられる
(口が乾燥しにくくなる)
食べ物を噛み切りやすくなる
発音が良くなる
開咬のリスクは? 放っておいても大丈夫?
口をしっかりと閉じにくく口呼吸をする頻度が増えるため、口の中が乾燥しやすくなります。口の中が乾燥すると細菌が活動しやすい環境となるため、むし歯や歯周病のリスクが高まります。
前歯で噛めず奥歯ばかりで噛んでいると、顎の関節に過剰な力がかかります。顎関節に負担がかかることで、将来的に顎関節症が悪化するリスクが高まります。
前歯でしっかり噛むことが難しいため、噛む力が奥歯に集中しやすくなります。長期的に奥歯に過度な負担をかけ続けることで、歯が欠けたり詰め物が取れたりなどのリスクが高まります。結果として早く奥歯を失う恐れがあります。
不正咬合を放置するリスクは上記だけに留まりません。顔貌の歪み、全身骨格の歪みを生じるリスクがありますし、歯周病の進行によって脳梗塞・心筋梗塞・糖尿病といった成人病リスクも高まることがわかっています。
次のページで詳しく解説します。
放置するリスク
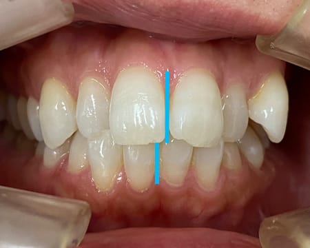
中心のズレ
(正中偏位)
中心のズレとは?
中心のズレとは、前歯の中心が揃っていない状態です。「正中偏位(せいちゅうへんい)」とも言います。
前歯の中心がお顔の中心から2mm以上ズレていると、ズレが目立ってしまうとされています。
開咬を矯正するメリット
見た目が良くなる
食べ物を噛み切りやすくなる
発音が良くなる
中心のズレのリスクは? 放っておいても大丈夫?
不正な咬み合わせによって歯が異常に摩耗しやすくなり、将来的に歯が欠けたり削れたりするリスクが高まります。
噛み合わせが悪いと顎の関節に過剰な力がかかります。顎関節に負担がかかることで、将来的に顎関節症が悪化するリスクが高まります。
不正咬合を放置するリスクは上記だけに留まりません。顔貌の歪みだけでなく、全身骨格の歪みを生じるリスクがありますし、歯周病の進行によって脳梗塞・心筋梗塞・糖尿病といった成人病リスクも高まることがわかっています。
次のページで詳しく解説します。
放置するリスク
前歯がぶつかる
(切端咬合)
切端咬合とは?
切端咬合(せったんこうごう)とは。上下の前歯の先端同士が当たってしまっている状態です。
通常の嚙み合わせであれば、上の前歯が下の前歯を2~3mmほど覆っています。
切端咬合を矯正するメリット
見た目が良くなる
口をしっかり閉じられる
(口が乾燥しにくくなる)
食べ物を噛み切りやすくなる
発音が良くなる
切端咬合のリスクは? 放っておいても大丈夫?
上下の歯が磨耗するため、歯のエナメル質がはがれやすくなります。エナメル質は菌などから歯を守る役割があるため、失うと虫歯を発症するリスクが極端に高まります。
噛み合わせが悪いと顎の関節に過剰な力がかかります。顎関節に負担がかかることで、将来的に顎関節症が悪化するリスクが高まります。
上下の歯があたることで前歯が摩耗してしまいます。将来的に歯が欠けたり割れたりするリスクが高まります。
不正咬合を放置するリスクは上記だけに留まりません。顔貌の歪み、全身骨格の歪みを生じるリスクがありますし、歯周病の進行によって脳梗塞・心筋梗塞・糖尿病といった成人病リスクも高まることがわかっています。
次のページで詳しく解説します。
放置するリスク
受け口
(下顎前突)
受け口とは?
受け口は、下の歯が上の歯よりも前に出ている状態のことです。「反対咬合(はんたいこうごう)」や「下顎前突(かがくぜんとつ)」とも言います。
受け口を矯正するメリット
見た目が良くなる
しゃくれを改善できる
口をしっかり閉じられる
(口が乾燥しにくくなる)
食べ物を噛み切りやすくなる
発音が良くなる
受け口のリスクは? 放っておいても大丈夫?
口をしっかりと閉じにくく口呼吸をする頻度が増えるため、口の中が乾燥しやすくなります。口の中が乾燥すると細菌が活動しやすい環境となるため、むし歯や歯周病のリスクが高まります。
噛み合わせが悪いと顎の関節に過剰な力がかかります。顎関節に負担がかかることで、将来的に顎関節症が悪化するリスクが高まります。
前歯でしっかり噛むことが難しいため、噛む力が奥歯に集中しやすくなります。長期的に奥歯に過度な負担をかけ続けることで、歯が欠けたり詰め物が取れたりなどのリスクが高まります。結果として早く奥歯を失う恐れがあります。
不正咬合を放置するリスクは上記だけに留まりません。顔貌の歪み、全身骨格の歪みを生じるリスクがありますし、歯周病の進行によって脳梗塞・心筋梗塞・糖尿病といった成人病リスクも高まることがわかっています。
次のページで詳しく解説します。
放置するリスク
口ゴボ
(上下顎前突)
口ゴボとは?
上下顎前突(口ゴボ)は、上下の前歯がともに前に出ている状態です。横顔を見た際に口元が盛り上がって見えます。
口ゴボを矯正するメリット
見た目が良くなる
口をしっかり閉じられる
(口が乾燥しにくくなる)
食べ物を噛み切りやすくなる
発音が良くなる
口ゴボのリスクは? 放っておいても大丈夫?
口をしっかりと閉じにくく口呼吸をする頻度が増えるため、口の中が乾燥しやすくなります。口の中が乾燥すると細菌が活動しやすい環境となるため、むし歯や歯周病のリスクが高まります。
出っ歯の方は正常な歯並びの方に比べて、衝突や転倒などの事故で前歯が損傷・破折するリスクが約50%も高まるといわれています。
前歯でしっかり噛むことが難しいため、噛む力が奥歯に集中しやすくなります。長期的に奥歯に過度な負担をかけ続けることで、歯が欠けたり詰め物が取れたりなどのリスクが高まります。結果として早く奥歯を失う恐れがあります。
不正咬合を放置するリスクは上記だけに留まりません。顔貌の歪み、全身骨格の歪みを生じるリスクがありますし、歯周病の進行によって脳梗塞・心筋梗塞・糖尿病といった成人病リスクも高まることがわかっています。
次のページで詳しく解説します。
放置するリスク









