歯列矯正で改善できる不正咬合の種類をご紹介します。
このページの監修者

河合歯科 矯正歯科
不正咬合タイプ診断
矯正できる歯並びは以下のとおりです。ほとんどの全ての不正咬合が治療可能です。画像をタップで、詳細をご覧いただけます。
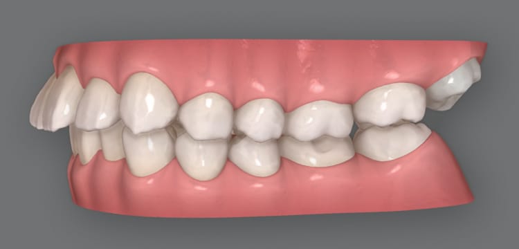
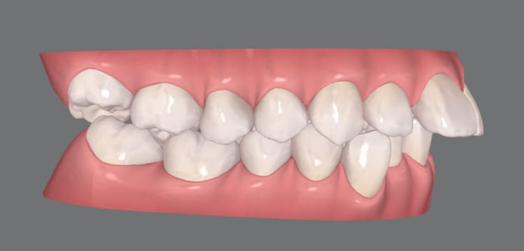
デコボコ歯
(叢生・乱食歯)

叢生とは?
叢生は、歯が重なって歯並びがデコボコになっている状態です。「乱ぐい歯」「ガチャ歯」とも言います。「八重歯」も叢生の一種です。
叢生はどのように直す?
叢生は主に歯を並べるスペースの不足によって生じるため、まずは抜歯やIPR(歯を少し削る処置)などによってスペースを確保する場合が多いです。
歯を動かせる距離は1ヵ月あたり約0.3〜0.5㎜程度です。適切な歯並びに向けて徐々に歯を動かしていきます。乱れが大きい症例や抜歯症例ほど難易度が高まりますが、1ステップずつ順番に対処していくことで、多くの症例は問題なく治療が可能です。
当院症例
-
デコボコ歯
- マウスピース枚数(治療期間):
- 24枚(8ヵ月)
- 治療費用一式:
- 198,000円~800,000円
費用補足:
カウンセリングとは別の日に検査をお受けいただく場合には、検査費用として別途3,150円を頂戴しております。
リスク:
マウスピース装着による不快感・痛み、歯根吸収等の副作用があります。矯正後に後戻りすることがあります。 -
-
デコボコ歯
- マウスピース枚数(治療期間):
- 18枚(8ヵ月)
- 治療費用一式:
- 198,000円~800,000円
費用補足:
カウンセリングとは別の日に検査をお受けいただく場合には、検査費用として別途3,150円を頂戴しております。
リスク:
マウスピース装着による不快感・痛み、歯根吸収等の副作用があります。矯正後に後戻りすることがあります。 -
矯正治療にかかる費用の目安については次のページをご覧ください。
出っ歯
(上顎前突)

出っ歯とは?
出っ歯とは、上顎の前歯もしくは上顎そのものが正常な位置よりも前に出すぎている状態です。「上顎前突(じょうがくぜんとつ)」「反っ歯(そっぱ)」とも言います。
出っ歯はどのように直す?
出っ歯は主に歯を並べるスペースの不足によって生じるため、まずは抜歯やIPR(歯を少し削る処置)などによってスペースを確保する場合が多いです。
歯を動かせる距離は1ヵ月あたり約0.3〜0.5㎜程度です。基本的には奥歯を奥側に動かしてスペースを確保しつつ、前歯を傾斜移動(傾いている歯を直立させる動き)させながら徐々に歯並びを整えていきます。
骨格の影響が大きい症例は 難しい場合もあります
上顎そのものが過度に大きかったり出っ張っていたりする場合は、矯正だけでは治せない場合があります。重度の場合は形成外科で上顎骨後方移動術(顎の骨を切り、後方に移動させる手術)が必要です。
骨格が原因の出っ歯であっても、軽度であれば矯正治療のみである程度の改善が可能です。
当院症例
-
出っ歯
- マウスピース枚数(治療期間):
- 28枚(10ヵ月)
- 治療費用一式:
- 198,000円~800,000円
費用補足:
カウンセリングとは別の日に検査をお受けいただく場合には、検査費用として別途3,150円を頂戴しております。
リスク:
マウスピース装着による不快感・痛み、歯根吸収等の副作用があります。矯正後に後戻りすることがあります。 -
-
出っ歯
- マウスピース枚数(治療期間):
- 22枚(8ヵ月)
- 治療費用一式:
- 198,000円~800,000円
費用補足:
カウンセリングとは別の日に検査をお受けいただく場合には、検査費用として別途3,150円を頂戴しております。
リスク:
マウスピース装着による不快感・痛み、歯根吸収等の副作用があります。矯正後に後戻りすることがあります。 -
矯正治療にかかる費用の目安については次のページをご覧ください。
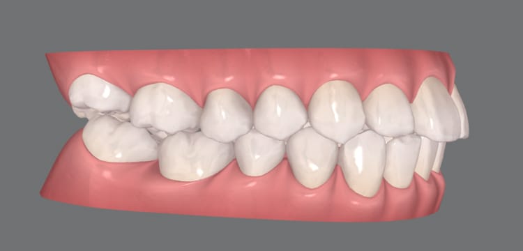
すきっ歯
(空隙歯列)

すきっ歯とは?
すきっ歯とは、歯と歯の間に隙間がある状態です。「空隙歯列(くうげきしれつ)」とも言います。前歯の間だけが開いている場合は「正中離開(せいちゅうりかい)」と言います。
すきっ歯はどのように直す?
歯と歯の間を閉じながら、歯を内側に引っ込め、歯列弓(U字のアーチ)を狭めていくことで改善していきます。歯を動かせる距離は1ヵ月あたり約0.3〜0.5㎜程度です。
すきっ歯は元々十分なスペースがあるため、基本的には抜歯やIPRは不要です。
当院症例
-
すきっ歯の矯正例
- マウスピース枚数(治療期間):
- 48枚(16ヵ月)
- 治療費用一式:
- 198,000円~800,000円
費用補足:
カウンセリングとは別の日に検査をお受けいただく場合には、検査費用として別途3,150円を頂戴しております。
リスク:
マウスピース装着による不快感・痛み、歯根吸収等の副作用があります。矯正後に後戻りすることがあります。 -
矯正治療にかかる費用の目安については次のページをご覧ください。
深い噛み合わせ
(過蓋咬合)

深い噛み合わせとは?
上下の歯の噛み合わせが異常に深い状態です。「過蓋咬合(かがいこうごう)」「ディープバイト」とも言います。
通常の場合は上の歯が下の歯を2~3ミリ程度覆い隠しますが、過蓋咬合の場合は下の歯がほとんど見えなくなるほど上の歯に覆われます。
過蓋咬合はどのように直す?
「挺出(引っ張り出す)」「圧下(押し込む)」といった動きをおこなうことで嚙み合わせの高さを調整します。圧下の動きは難易度が高く、1ヵ月あたり0.1mm以下程度でゆるやかに移動します。
マウスピース矯正の場合はバイトランプという補助装置が付いたマウスピースを用いることで前歯の圧下をおこないます。前歯の裏側に3mm程度のでっぱりがついており、上下の歯を噛み合わせた際に下の前歯に力が加わるように設計されています。
骨格の影響が大きい症例は 難しい場合もあります
下顎そのものが過度に小さい、上下の顎の角度が角に狭いなど骨格の影響が大きい症例は矯正だけでは治せない場合があります。重度の場合は外科手術との併用が必要です。骨格が原因の過蓋咬合であっても、軽度であれば矯正治療のみである程度の改善が可能です。
矯正治療にかかる費用の目安については次のページをご覧ください。
嚙み合わせのズレ
(交叉咬合)

嚙み合わせの 交叉(こうさ)とは?
嚙み合わせの交叉(こうさ)とは、部分的に上の歯より下の歯が前に出て、かみ合わせが反対になっている状態です。「交叉咬合(こうさこうごう)」「クロスバイト」とも言います。
交叉咬合はどのように直す?
交叉咬合は上下の顎の成長がアンバランスであったり、上顎の歯列が狭かったりする場合が多いです。交叉している箇所だけでなく歯列全体を整えながら噛み合わせを整えていきます。歯を動かせる距離は1ヵ月あたり約0.3〜0.5㎜程度です。
叢生(ガタガタの歯並び)を併発しておりスペース不足となっている場合が多いため、抜歯やIPR(歯を少し削る処置)などによってスペースを確保することがあります。
骨格の影響が大きい症例は 難しい場合もあります
下顎骨(したの顎の骨)と上顎骨(上の顎の骨)の形状に問題があって上下顎のズレが大きい場合、矯正だけでは十分に改善できない場合があります。重度の場合は外科手術が必要です。
当院症例
-
嚙み合わせのズレ
- マウスピース枚数(治療期間):
- 23枚(8か月月)
- 治療費用一式:
- 198,000円~800,000円
費用補足:
カウンセリングとは別の日に検査をお受けいただく場合には、検査費用として別途3,150円を頂戴しております。
リスク:
マウスピース装着による不快感・痛み、歯根吸収等の副作用があります。矯正後に後戻りすることがあります。 -
矯正治療にかかる費用の目安については次のページをご覧ください。
前歯が閉じない
(開咬)

前歯が閉じないとは?
奥歯を嚙み合わせた歳に上下の前歯の間に隙間ができ、前歯がかみ合わっていない状態です。「オープンバイト」とも言います。
開咬はどのように直す?
基本的には上顎の前歯を挺出(引っ張り出す)することで隙間を閉じていきます。必要に応じて下顎の前歯の挺出・圧下(引っ込める)をおこない嚙み合わせを整えていきます。
マウスピース矯正の場合はアタッチメントという樹脂の突起を歯に取り付け、マウスピースの窪みにひっかけることで挺出の動きを実現します。
骨格の影響が大きい症例は 難しい場合もあります
上顎歯槽骨が過度に薄いなど、骨格形状に貴院する開咬は十分に改善できないことがあります。
矯正治療にかかる費用の目安については次のページをご覧ください。
中心のズレ
(正中偏位)

中心のズレとは?
中心のズレとは、前歯の中心が揃っていない状態です。「正中偏位(せいちゅうへんい)」とも言います。
前歯の中心がお顔の中心から2mm以上ズレていると、ズレが目立ってしまうとされています。
正中偏位はどのように直す?
正中がズレているということは他の箇所の噛み合わせもズレていますので、歯列全体を移動させて整えていきます。歯を動かせる距離は1ヵ月あたり約0.3〜0.5㎜程度です。
ワイヤー矯正の場合は、アンカースクリューという金属の補助器具を顎の骨に埋め込み、固定源とすることで歯列全体を動かしていきます。
骨格の影響が大きい症例は 難しい場合もあります
顔の骨格の歪みが原因で正中がズレることもあります。重度の場合は矯正だけでは治せない場合があります。骨格が原因であっても、軽度であれば矯正治療のみである程度の改善が可能です。
当院症例
-
嚙み合わせのズレ
- マウスピース枚数(治療期間):
- 40枚(1年2ヵ月)
- 治療費用一式:
- 198,000円~800,000円
費用補足:
カウンセリングとは別の日に検査をお受けいただく場合には、検査費用として別途3,150円を頂戴しております。
リスク:
マウスピース装着による不快感・痛み、歯根吸収等の副作用があります。矯正後に後戻りすることがあります。 -
矯正治療にかかる費用の目安については次のページをご覧ください。
前歯がぶつかる
(切端咬合)

切端咬合とは?
切端咬合(せったんこうごう)とは。上下の前歯の先端同士が当たってしまっている状態です。
通常の嚙み合わせであれば、上の前歯が下の前歯を2~3mmほど覆っています。
切端咬合はどのように直す?
上顎の歯列を広げたり前側に移動させる、もしくは下顎の歯列を狭めたり後ろ側に移動させることで、上の歯が下の歯を覆うように調整していきます。歯を動かせる距離は1ヵ月あたり約0.3〜0.5㎜程度です。
骨格の影響が大きい症例は 難しい場合もあります
上顎骨に対して下顎骨が過度に大きい場合など、骨格形状に貴院する切端咬合は十分に改善できないことがあります。こうした症例の場合は顎の骨を切る外科手術が必要です。
骨格が原因の切端咬合であっても、軽度であれば矯正治療のみである程度の改善が可能です。
矯正治療にかかる費用の目安については次のページをご覧ください。
受け口
(下顎前突)

受け口とは?
受け口は、下の歯が上の歯よりも前に出ている状態のことです。「反対咬合(はんたいこうごう)」や「下顎前突(かがくぜんとつ)」とも言います。
受け口はどのように直す?
下顎の歯列を狭めたり後ろ側に移動させたうえで、上顎の歯列を前側に移動させて整えます。必要に応じて抜歯やIPR(歯を少し削る処置)などによってスペースを確保することもあります。歯を動かせる距離は1ヵ月あたり約0.3〜0.5㎜程度です。
補助器具として「Ⅲ級ゴム 」という器具を使用することもあります。上の奥歯と下の犬歯部分をゴムで繋ぐことで下顎全体を後方に引っ張り、上顎を前方に押し出す効果があります。
骨格の影響が大きい症例は 難しい場合もあります
下顎そのものが過度に大きかったり出っ張っていたりする場合は、矯正だけでは十分に改善できない場合があります。重度の場合は形成外科で下顎骨後方移動術(顎の骨を切り、後方に移動させる手術)が必要です。
骨格が原因の出っ歯であっても、軽度であれば矯正治療のみである程度の改善が可能です。
矯正治療にかかる費用の目安については次のページをご覧ください。
口ゴボ
(上下顎前突)

口ゴボとは?
上下顎前突(口ゴボ)は、上下の前歯がともに前に出ている状態です。横顔を見た際に口元が盛り上がって見えます。
口ゴボはどのように直す?
抜歯やIPR(歯を少し削る処置)などによって前歯を下げるためのスペースを確保したうえで、徐々にそれぞれの歯を後方に移動させていきます。歯を動かせる距離は1ヵ月あたり約0.3〜0.5㎜程度です。
骨格の影響が大きい症例は 難しい場合もあります
顎の骨そのものが過度に突出している場合は、矯正だけでは十分に改善できない場合があります。こうした症例ではは顎の骨を切る外科手術が必要です。
また顎の先端の後退による口ゴボも矯正治療では治すことができません。
骨格が原因の口ゴボであっても、軽度であれば矯正治療のみである程度の改善が可能です。
矯正治療にかかる費用の目安については次のページをご覧ください。
スマホサイトは
こちら
いつでも簡単予約
診療時間 | 月 | 火 | 水 | 木 | 金 | 土 | 日 | 祝 |
---|---|---|---|---|---|---|---|---|
9:30 - 13:00 | ||||||||
15:00 - 19:00 |
※第2・4土曜日は休診※14:30~17:00
WEB予約お申込みフォーム
お申し込みいただき
誠にありがとうございます
まだ予約は確定していません。お電話で日程確認・調整の上、予約が確定します。
ご予約時間調整のため、担当スタッフよりご連絡します。
お電話でのご連絡の場合、
0476-40-0040 より発信します。
お手数をおかけしますが、ご対応くださいますようよろしくお願いいたします。