歯が1本なくて隙間が気になる…先天性欠損がある場合の矯正治療の方針と治療法

大人の矯正歯科2026/1/6

このページの監修者

私が監修しました
千葉ニュータウン中央駅前
河合歯科 矯正歯科
院長河合 友輔

先天性欠損で歯が足りない方の
矯正相談が増えています

近年、「生まれつき歯の本数が少ない(先天性欠損)」ことを理由に、矯正相談で来院される患者様が増えています。

特に10〜20代の若い世代では、見た目を気にして矯正治療を検討される方が多く、「歯が1本足りないけれど、矯正はできるの?」といったご相談を多くいただきます。

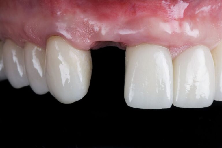
先天性欠損は決して珍しいものではなく、前歯や小臼歯が足りないケースが多く、まれに奥歯が足りないケースもあります。

一般的な治療方針は
大きく2つあります

先天性欠損(事故や虫歯による抜歯で歯を失った場合も含む)がある場合の矯正治療は、歯がない部分の隙間をどのように考えるかによって、大きく2つの治療方針に分かれます。

①歯列を小さくして、隙間をなくす方法

歯がない部分の隙間を、全体的に歯を後方へ移動させることで閉じ、歯並びを整える方法です。
「外科的処置はできるだけ避けたい」という方に選ばれることが多い治療方針です。

メリット

・インプラントなどの追加治療が不要なため、矯正治療のみで完結する

デメリット

・歯の本数を合わせるために、抜歯が必要になる場合がある

・非抜歯の場合、歯を左右どちらかに寄せる必要があるため、正中(前歯の真ん中)がズレやすい

②隙間をあえて残し、別の治療で補う方法

矯正治療で歯並びを整えたあと、歯がない部分の隙間に補綴治療(人工の歯)を行う方法です。
主な選択肢はインプラント・ブリッジ・部分入れ歯の3つがあります。

共通して、抜歯をせずに治療ができ、左右のバランスが取りやすく正中(前歯の中心)も揃いやすい点がメリットです。
一方で、矯正治療だけでは完了せず、追加の治療が必要となるため、治療期間や費用がかかる点がデメリットです。

インプラント

インプラントとは、顎の骨に人工の土台を埋め込み、その上に人工の歯を取り付ける治療方法です。

治療期間

矯正治療期間+インプラント治療期間(6ヶ月〜1年程度)

費用目安

矯正治療費+インプラント治療費(50万円程度/1本)

インプラント治療の耐久性

15年程度

インプラント治療のメリット

・周囲の歯に負担をかけない
・見た目・機能性ともに優れている
・自分の歯に近い感覚で長く使える

インプラント治療のデメリット

・自費治療のみのため費用が高額になる
・外科的処置が必要で、身体的負担がある
・インプラント歯周炎のリスクがある

ブリッジ

ブリッジとは、欠損歯の両隣の歯を削って土台にし、その上に人工の歯を橋渡しのように固定する治療方法です。

治療期間

矯正治療期間+ブリッジ治療期間(1〜2ヶ月程度)

費用目安

矯正治療費+保険のブリッジ治療費(1万円程度)
矯正治療費+自費(ジルコニア)のブリッジ治療費(8〜15万円程度)

ブリッジ治療の耐久性

保険のブリッジの場合:7〜8年程度
自費(ジルコニア)のブリッジの場合:10~15年程度

ブリッジ治療のメリット

・保険適用なら費用を抑えられる
・外科処置が不要で治療期間が短い
・固定式のため、入れ歯のようなズレがない

ブリッジ治療のデメリット

・健康な隣の歯を削る必要がある
・支えとなる歯に負担がかかり、寿命が短くなるリスクがある
・食べ物が詰まりやすく、清掃が難しい
・保険のブリッジは耐久性が低く、再治療が必要になりやすい

部分入れ歯

部分入れ歯とは、欠損歯の両側の歯に金属のバネ(クラスプ)をかけて固定する、取り外し式の装置です。

治療期間

矯正治療期間+保険の部分入れ歯の製作期間(2週間~1ヶ月程度)
矯正治療期間+自費の部分入れ歯の製作期間(2~3ヶ月程度)

費用目安

矯正治療費+保険の部分入れ歯治療費(5千円~1万円程度)
矯正治療費+自費の部分入れ歯治療費(10~30万円程度)

部分入れ歯の耐久性

保険の部分入れ歯の場合:3〜5年程度
自費の部分入れ歯の場合:10~20年程度

部分入れ歯のメリット

・保険適用なら費用を抑えられる
・外科処置が不要
・取り外して清掃しやすい

部分入れ歯のデメリット

・噛む力が弱く、硬いものが食べにくい
・装着時の違和感がある
・バネをかける歯に負担がかかる

どの治療が適しているかは
状態によって異なります

先天性欠損がある場合でも、矯正治療は十分可能です
ただし、歯の本数や位置、噛み合わせ、年齢、将来的なメンテナンスまで含めて考えることが大切です。

「矯正治療だけで終わらせたいのか」「長期的な安定や見た目を重視したいのか」
患者様一人ひとりのライフスタイルやご希望に合わせて、最適な治療方針をご提案しています。

歯が足りないことでお悩みの方は、まずはお気軽に無料相談にお越しください。

このページの監修者

私が監修しました
千葉ニュータウン中央駅前
河合歯科 矯正歯科
院長河合 友輔

当院はこれまで
1,665件の矯正治療を
手掛けてきました。

これまで積み重ねてきた
経験と知識を基に、
お1人お1人に合った
適切な治療をご提供いたします。

症例写真

費用補足:
カウンセリングとは別の日に検査をお受けいただく場合には、検査費用として別途3,150円を頂戴しております。
リスク:
マウスピース装着による不快感・痛み、歯根吸収等の副作用があります。矯正後に後戻りすることがあります。

近隣で歯列矯正をご検討の方は
ぜひご相談にいらしてください。

地域最安級19.8万円~

詳しくはこちら

スマホサイトは
こちら